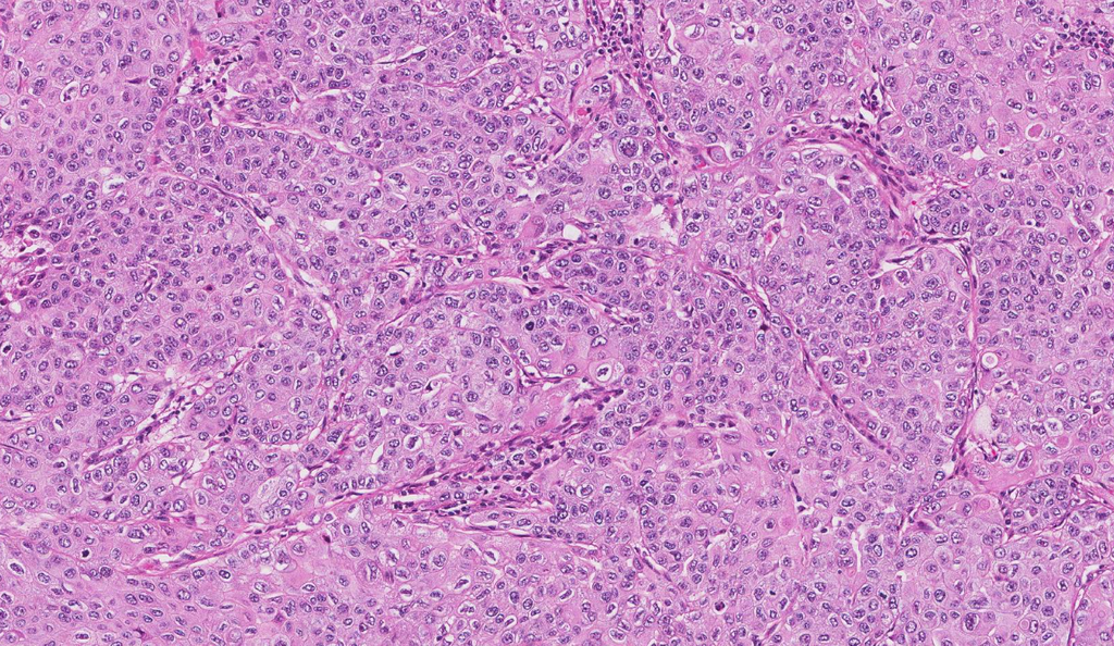
Human Lung Cancer ''Squamous cell carcinoma ''grade I'' of superior lobe of right lung'' ''single section per slide'' 5 slides/pack

https://health.gentaur.com/web/image/product.template/20077/image_1920?unique=1a4b434

Squamous cell carcinoma SCC is a type of non-small cell lung cancer with specialized squamous cells that are normally found at the inside of the lungs. 

These cancer cells form a barrier called the epithelium which helps to protect the airways from damage.


250.00 € 250.0 EUR 250.00 €

250.00 €

Not Available For Sale

This combination does not exist.

tissue section

Terms and Conditions
30-day money-back guarantee
Shipping: 2-3 Business Days